요즘 TV를 보면 연예인들 치아가 정말 가지런하고 하얗잖아요. 저도 볼 때마다 '어떻게 저렇게 완벽하지?'하고 부러워하는데요.
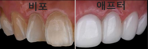
예전에는 치아를 깎아내는 라미네이트가 대부분이었지만, 최근에는 치아 손상을 최소화하면서 예쁜 치아를 만들 수 있는 방법이 등장해서 큰 인기를 얻고 있답니다. 바로 제로네이트예요.
혹시 "치아를 안 깎고 라미네이트를 한다고? 그럼 너무 두꺼워지지 않을까?" 하고 의아해하셨나요?
많은 분들이 궁금해하는 부분인데요.
오늘 제가 제로네이트의 모든 것을 아주 자세히, 그리고 쉽게 풀어드릴게요.
제로네이트가 정확히 무엇인지, 가격은 얼마나 드는지, 연예인들은 누가 시술했는지까지! 궁금증을 싹 해결해 드리겠습니다.
제로네이트, 도대체 뭘까요?


제로네이트는 쉽게 말해 '무삭제 라미네이트'의 하이엔드 버전이라고 생각하시면 돼요.
기존의 라미네이트가 치아 표면을 일정량 깎아낸 후 얇은 세라믹 판을 붙이는 방식이라면, 제로네이트는 치아를 거의 깎지 않거나 아주 미세하게만 다듬어 덧붙이는 시술입니다.
이 기술은 스위스에서 개발된 아주 얇고 견고한 세라믹 제작 기술을 바탕으로 하는데요.
그 두께가 무려 0.01mm로, 머리카락 한 올보다도 얇다고 해요.
이 얇은 세라믹 보철물을 치아에 부착하기 때문에 치아 삭제를 최소화하면서도 자연스러운 결과를 얻을 수 있답니다.
그래서 치아 손상에 대한 부담을 크게 줄일 수 있다는 것이 가장 큰 장점이에요.
제로네이트 시술 방법

제로네이트 시술은 크게 몇 가지 단계로 나눌 수 있어요.
- 정밀 진단 및 디자인: 가장 중요한 단계인데요. 전문의가 환자의 치아 상태, 얼굴형, 구강 구조를 정밀하게 분석해요. 컴퓨터 프로그램을 이용해 시술 후 모습을 미리 확인하는 스마일 프리뷰 과정을 거치기도 합니다.
- 최소한의 치아 다듬기: 치아 배열이나 모양에 따라 아주 미세하게 다듬는 과정이 필요할 수 있어요. 하지만 라미네이트처럼 치아를 많이 깎아내지는 않으니 걱정하지 않으셔도 됩니다.
- 보철물 제작: 환자의 치아 본을 떠서 0.01mm의 초박형 세라믹 보철물을 수작업으로 제작합니다. 이 과정에서 치아 본연의 색상과 투명도를 재현해 아주 자연스러운 결과를 만들어내죠.
- 부착 및 마무리: 제작된 보철물을 치아에 정교하게 부착하고 최종적으로 다듬는 작업으로 시술이 마무리됩니다.
이 시술의 가장 큰 장점 중 하나는 원데이 시술이 가능하다는 점이에요.
치과에 따라 하루 만에 모든 과정을 끝낼 수도 있어서 바쁜 직장인이나 유학생, 지방 거주자들에게 큰 인기를 얻고 있답니다.
제로네이트 가격과 비용은 어느 정도일까요?
제로네이트는 심미 시술이기 때문에 건강보험이 적용되지 않아요.
따라서 제로네이트 가격은 치과마다, 그리고 시술받는 치아의 개수나 난이도에 따라 천차만별인데요.
오늘 날짜를 기준으로 여러 치과들의 정보를 찾아본 결과, 치아 한 개당 70만원대부터 100만원 이상까지 다양하게 형성되어 있음을 알 수 있습니다.
일반 라미네이트에 비하면 비용이 다소 높게 느껴질 수 있지만, 치아 삭제를 최소화하고 자연치를 보존한다는 점에서 충분히 가치가 있는 투자라고 저는 개인적으로 생각합니다.
정확한 비용은 치과를 직접 방문하여 상담받고 견적을 받아보는 것이 가장 정확하답니다.
제로네이트, 혹시 부작용은 없을까요?
치아를 거의 깎지 않아 부작용이 없을 거라고 생각하실 수도 있는데요. 모든 시술이 그렇듯 제로네이트도 주의해야 할 점이 있어요.
- 두께감: 치아를 깎지 않고 덧붙이는 방식이라, 치아 배열이 불규칙한 경우에는 보철물 자체가 두꺼워 보여 이질감이 느껴질 수 있습니다.
- 탈락 가능성: 아무리 접착력이 강해도 외부 충격에 의해 보철물이 깨지거나 떨어질 수 있습니다. 딱딱하거나 질긴 음식은 피하는 것이 좋습니다.
- 치은염 및 충치: 보철물과 잇몸 경계 부위에 음식물이 잘 끼면 염증이 생기거나 충치가 발생할 수 있으니, 시술 후에도 꼼꼼한 양치질과 관리가 필수입니다.
이러한 부작용을 최소화하려면 풍부한 경험과 노하우를 가진 전문의에게 시술을 받는 것이 중요하겠죠.
제로네이트 연예인 사례, 누가 했을까?
제로네이트가 주목받으면서 많은 연예인들도 시술 후기를 공개했는데요. 방송과 개인 SNS를 통해 제로네이트 시술 사실을 밝힌 유명인들이 여럿 있답니다.
가장 대표적인 분은 바로 방송인 유병재 씨예요.
'황니의 아이콘'이라는 별명을 가지고 있었는데, 제로네이트 시술 후 훨씬 깔끔하고 환해진 치아를 공개하며 많은 화제가 되었죠.
그룹 EXID의 멤버였던 하니 씨도 제로네이트 시술을 통해 환한 미소를 되찾았다고 언급했고요.
그 외에도 김종민, 지예은 등 여러 연예인들이 방송에서 제로네이트를 언급하며 일반인들에게도 크게 알려졌답니다.
이처럼 많은 연예인들이 선택했다는 사실이 그만큼 시술 효과와 만족도가 높다는 것을 보여주는 것 같아요.
마무리하며..
지금까지 제로네이트에 대해 자세히 알아봤습니다. 치아 삭제에 대한 부담 때문에 라미네이트를 망설였다면, 제로네네이트는 좋은 대안이 될 수 있을 것 같아요.
다만, 모든 시술에는 장점과 단점이 공존하는 만큼, 반드시 전문의와 충분한 상담을 거친 후 신중하게 결정하시기를 바랍니다. 여러분도 깨끗하고 가지런한 치아로 자신감 넘치는 웃음을 되찾으시길 바랍니다!
2025.09.11 - [건강정보] - 뇌졸중 전조증상 5가지, 예방 혈자리
2025.09.11 - [건강정보] - 마운자로 가격, 부작용, 효과, 위고비와 비교
마운자로 가격, 부작용, 효과, 위고비와 비교
요즘 주변에서 '살 빠지는 주사' 이야기 정말 많이 하시죠? 다이어트를 시도해 보신 분이라면 누구나 솔깃할 수밖에 없는 주제인 것 같아요. 저도 개인적으로 관심이 많아서 이 분야에 대해 꾸준
health.luckyreport7.com
2025.05.16 - [건강정보] - 주사피부염 실비청구 방법, 1세대부터 3세대까지
주사피부염 실비청구 방법, 1세대부터 3세대까지
주사피부염 치료를 받으면서 실비보험(실손의료비) 청구가 가능한지 궁금해하는 분들이 많습니다. 실제로 보험 적용이 되는지, 청구할 때 필요한 서류와 절차, 그리고 1세대부터 3세대까지 실비
health.luckyreport7.com
'건강정보' 카테고리의 다른 글
| 알파CD 효능, 추천, 원리, 복용법 (0) | 2025.09.11 |
|---|---|
| 무화과 먹는 방법, 효능, 호두파이 만들기 (0) | 2025.09.11 |
| 뇌졸중 전조증상 5가지, 예방 혈자리 (0) | 2025.09.11 |
| 마운자로 가격, 부작용, 효과, 위고비와 비교 (0) | 2025.09.11 |
| 스위치온다이어트, 핵심원리부터 실제후기까지 한 번에! (2) | 2025.07.09 |